Karaciğer Lekeleri Belirtileri ve Tedavisi
Karaciğer lekeleri, karaciğer dokusunda oluşan anormal hücresel büyümelerdir ve çeşitli nedenlere bağlı olarak ortaya çıkabilir. Genellikle belirti vermezler ancak bazı durumlarda karın ağrısı, sarılık veya kilo değişiklikleri gibi semptomlar gösterebilir. Erken tanı ve doğru tedavi, sağlık açısından büyük önem taşır.
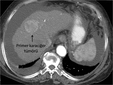
Karaciğer Lekeleri: Belirtileri ve TedavisiKaraciğer, vücudumuzun en büyük organlarından biri olup, birçok önemli işlevi bulunmaktadır. Karaciğer lekeleri, bu organ üzerinde meydana gelen anormal değişiklikler veya lezyonlardır. Bu lekeler, genellikle tesadüfen yapılan görüntüleme testleri sırasında fark edilir ve çeşitli nedenlerden kaynaklanabilir. Bu makalede, karaciğer lekelerinin belirtileri, nedenleri ve tedavi yöntemleri detaylı bir şekilde incelenecektir. Karaciğer Lekeleri Nedir?Karaciğer lekeleri, karaciğer dokusunda meydana gelen anormal hücresel büyümelerdir. Bu lezyonlar, iyi huylu (benign) veya kötü huylu (malign) olabilir. İyi huylu lezyonlar genellikle sağlık açısından tehdit oluşturmazken, kötü huylu lezyonlar kanserin bir belirtisi olabilir. Karaciğer Lekelerinin BelirtileriKaraciğer lekeleri genellikle belirti vermez, ancak bazı durumlarda aşağıdaki belirtiler görülebilir:
Bu belirtiler, karaciğer lekelerinin varlığını gösterebilir, ancak kesin bir tanı koymak için daha ileri tetkiklerin yapılması gerekmektedir. Karaciğer Lekelerinin NedenleriKaraciğer lekeleri çeşitli nedenlerden kaynaklanabilir:
Karaciğer Lekelerinin TanısıKaraciğer lekelerinin tanısı genellikle aşağıdaki yöntemlerle yapılır:
Karaciğer Lekelerinin TedavisiKaraciğer lekelerinin tedavisi, lezyonun türüne ve nedenine bağlı olarak değişir. Tedavi yöntemleri şunları içerebilir:
SonuçKaraciğer lekeleri, genellikle belirti vermeyen ancak ciddi sağlık sorunlarına işaret edebilen lezyonlardır. Erken tanı ve tedavi, bu lezyonların yönetiminde kritik öneme sahiptir. Karaciğer sağlığını korumak için düzenli sağlık kontrolleri yapmak ve sağlıklı yaşam tarzı benimsemek önemlidir. Bu nedenle, karaciğer sağlığını tehdit eden herhangi bir belirti görüldüğünde bir sağlık uzmanına başvurmak gerekmektedir. |

.webp)
.webp)



















.webp)
























Karaciğer lekeleri ve ciltteki benler üzerine okuduklarım beni oldukça düşündürdü. Özellikle kahverengi lekelerin yaygınlığı ve zamanla artış göstermesi, birçok insan için kozmetik kaygıların yanı sıra psikolojik etkiler de yaratabiliyor. Bu durum, bireylerin kendilerini nasıl hissettiğini ve sosyal hayatlarını nasıl etkilediğini düşündürüyor. Lekelerle başa çıkmak için en etkili yöntemler neler olabilir? Cilt koruma yöntemlerini düzenli olarak uygulamak ve dermatologlarla sıkı bir ilişki kurmak, bu sorunların etkisini azaltabilir mi? Gençlerde hormon değişiklikleri ve ilaçların bu lekeleri tetiklemesi oldukça ilginç bir durum. Ayrıca, bu tür sorunları yaşayanların ne gibi önlemler aldığını ve hangi tedavi yöntemlerini denediklerini merak ediyorum. Belki de bu konuda daha fazla bilgi edinmek, benzer sorunları yaşayanlar için faydalı olabilir.
Karaciğer Lekeleri ve Ciltteki Benler ile ilgili düşünceleriniz oldukça önemli. Bu tür cilt problemleri, sadece estetik kaygılar değil, aynı zamanda bireylerin psikolojik durumlarını da etkileyebiliyor.
Lekelerle Baş Etme Yöntemleri açısından, düzenli cilt bakımı ve koruma yöntemleri gerçekten büyük bir rol oynayabilir. Güneş koruyucu kullanmak, cilt tipine uygun ürünler tercih etmek ve sağlıklı bir yaşam tarzı benimsemek, lekelerin oluşumunu azaltabilir. Ayrıca, dermatologlarla yapılan düzenli kontroller, bu tür sorunların erken teşhisi ve tedavisi açısından kritik öneme sahiptir.
Gençlerde Hormon Değişiklikleri ve ilaçların etkisi de göz ardı edilmemeli. Özellikle ergenlik dönemindeki hormonal değişiklikler, ciltteki lekeleri tetikleyebilir. Bu dönemde dikkat edilmesi gereken en önemli şeylerden biri, cilt temizliğine özen göstermek ve gerekli durumlarda profesyonel yardım almaktır.
Önlemler ve Tedavi Yöntemleri konusunda, birçok kişi doğal yöntemler, kimyasal peeling, lazer tedavileri gibi farklı yollar denemektedir. Her bireyin cilt yapısı farklı olduğu için, deneyimlerin paylaşılması ve hangi yöntemlerin daha etkili olduğunun araştırılması oldukça faydalı olabilir. Bu konuda daha fazla bilgi edinmek, benzer sorunlar yaşayanların da doğru adımları atmaları açısından önemli bir adım olacaktır.
Karaciğer lekeleri ve ciltteki benler hakkında okuduklarım beni düşündürdü. Özellikle kahverengi lekelerin yaygınlığına ve genellikle yaşla birlikte artış gösterdiğine dair bilgiler gerçekten dikkat çekici. Bu lekelerin hem kozmetik hem de psikolojik etkileri olduğunu öğrenmek, birçok insan için önemli bir sorun olabilir. Acaba bu lekelerle başa çıkmanın en etkili yolları neler? Cilt koruma yöntemlerini uygulamak veya dermatologlarla düzenli kontroller yapmak bu sorunları ne kadar azaltabilir? Özellikle gençlerde de hormon değişimleri ve ilaçların etkisiyle lekelerin oluşması ilginç bir durum. Bu konuda daha fazla bilgi edinmemiz gerektiğini düşünüyorum. Benzer sorunları yaşayanlar ne tür önlemler alıyorlar?
Karaciğer Lekeleri ve Ciltteki Benler
Teren, karaciğer lekeleri ve ciltteki benler gerçekten de oldukça önemli bir konu. Özellikle yaşla birlikte artan kahverengi lekelerin hem kozmetik hem de psikolojik etkileri, birçok insan için kaygı verici olabilir. Bu lekelerle başa çıkmanın yolları üzerine düşünmek gerçekten faydalı.
Etkin Yöntemler
Lekelerle başa çıkmanın en etkili yollarından biri, cilt koruma yöntemlerini düzenli olarak uygulamaktır. Güneş koruyucu kullanmak, ciltteki lekelerin oluşumunu önlemede büyük rol oynar. Ayrıca, dermatologlarla yapılacak düzenli kontroller, oluşabilecek sorunların erken teşhis edilmesine yardımcı olabilir. Bu, hem mevcut lekelerin izlenmesi hem de yeni lekelerin oluşumunu engellemek açısından önemlidir.
Hormon Değişimleri ve İlaçlar
Gençlerde hormon değişimleri ve bazı ilaçların etkisiyle lekelerin oluşması da dikkat çekici bir durum. Bu nedenle, bu tür lekelerle ilgili endişeleri olan gençlerin bir uzmana danışmaları faydalı olacaktır. Hormon dengesizlikleri, ciltteki pigmentasyon sorunlarını artırabilir, bu yüzden bu konuda bilinçli olmak önemlidir.
Önlemler ve Paylaşımlar
Benzer sorunları yaşayan kişiler genellikle güneşten korunma, sağlıklı beslenme ve yeterli su tüketimi gibi önlemler almaktadır. Ayrıca, cilt bakımı ve uygun ürünlerin kullanımı da önemlidir. Bu konuda daha fazla bilgi edinmek ve deneyimleri paylaşmak, herkes için faydalı olabilir. Cilt sağlığına dair daha fazla bilgi sahibi olmak, bu tür sorunlar karşısında bilinçli adımlar atmayı sağlayacaktır.